Wydłużanie kończyn gwoździami śródszpikowymi PRECICE – studium przypadku
Gwoździe magnetyczne stosowane w Paley European Institute w połączeniu z unikalną małoinwazyjną techniką operacyjną pozwalają na znaczne ograniczenie podczas wydłużania:
• dolegliwości bólowych,
• infekcji,
• deformacji,
• łącznej liczby zabiegów operacyjnych,
• czasu gojenia ran oraz kości.
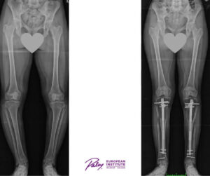
Lekarze i Pacjenci zgodnie twierdzą, że Precice pozwala na osiągnięcie wyższego poziomu satysfakcji Pacjenta poprzez podnoszenie jakości życia w okresie wydłużania kończyn. Metoda ta jest powtarzalna i w naszych rękach bezpieczna. W ciągu ostatniego roku uzyskaliśmy ponad 8 cm w przypadku kości u 16 pacjentów. Poniżej zdjęcie RTG jednego z nich.
Korekcja deformacji przy użyciu gwoździa PRECICE
W trakcie implantacji gwoździa bardzo często korygujemy również deformacje kończyn dolnych, na przykład szpotawość podudzi łącznie z uzyskaniem ponad 5 cm nowej kości.
Implant jest dostępny w kilku średnicach i długościach, dobieranych do indywidualnej anatomii Pacjenta. Od niej też zależy czas wydłużania za pomocą zewnętrznego sterownika ERC (niewielkiego urządzenia który aktywuje z zewnątrz gwóźdź), który pozwala na zmianę ustawień rzędu 0,001mm/dziennie.
Na czym polega wydłużanie kończyn przy użyciu gwoździa PRECICE
Wydłużanie polega na wykorzystaniu osteogenezy, czyli tworzenia kości w miejscu jej przecięcia. W tym procesie organizm może wytwarzać tzw. regenerat kostny. Na koniec operacji chirurg aktywuje implant, umożliwiając wydłużanie. Sama technika polega na wykonaniu małych nacięć i tworzeniu niewielkiego otworu na końcu kości celem implantacji gwoździa Precice.



